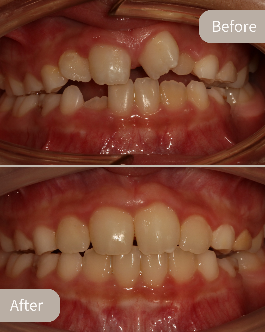
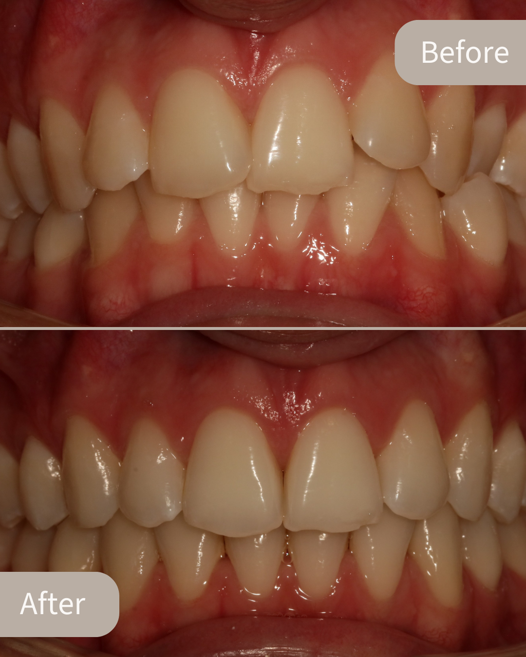
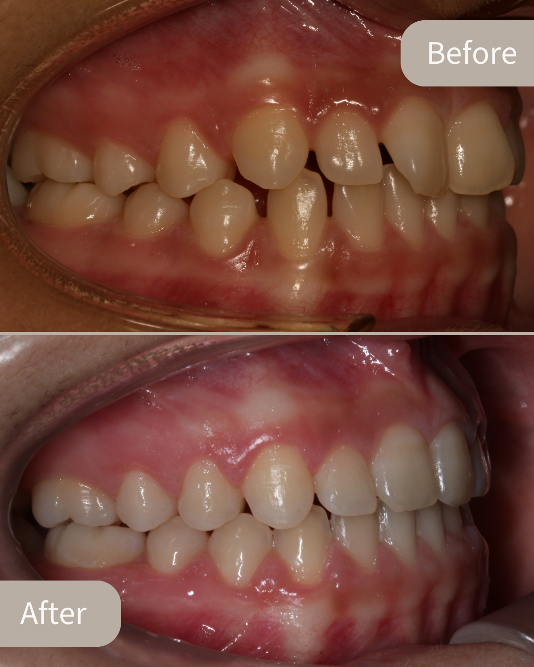
Our Smile Gallery features real patients and the results Jonty has achieved with Invisalign® and fixed braces. These before-and-after photos show the careful planning and personalised treatment behind each improved smile.